Хугарал засах мэс засал

Ясны хугаралын тухай ерөнхий ойлголт

Ясны хугарал гэдэг нь тодорхой хүч үйлчилсний улмаас яс хэсэг газраар болон бүхэлдээ бүтэцийн эвдрэлд орж, үйл ажиллагаа нь алдагдах эмгэгийг хэлдэг.

Ясыг хүмүүс чулуу шиг маш хатуу гэж төсөөлдөг үнэн хэрэгтээ яс маш уян зөөлөн, ясны 50 хувийг коллаген уураг , үлдсэнийг эрдэс эзэлдэг, ясны 10 хувь байнга эргэн шимэгдэж буцаж шинээр нөхөн төлжиж байдаг амьд эд юм.

Хугарал засах мэс засал image1

Яс маш их хүчтэй хүчний үйлчлэлээр хугардаг /өндрөөс унах, аваар, осол/ энгийн хүч үйлчлэхэд яс уян учир хугараад байдаггүй. Ясны энэ уян чанар алдагдаад ирвэл амархан хугарамтгай болно. Хэрэв багахан хүч /бүдэрч унах, эвгүй хөдлөх, хүндхэн юм өргөх, ханиах/ үйлчлэхэд хугарч байвал энэ нь ясны ямар нэг ясны эмгэг байгааг илтгэнэ. /osteoporosis, osteopenia, bone cancer, or osteogenesis imperfecta/ Дээрхи эмгэгүүдийн үед яс хугарамтгай болдог.

Хүчтэй хүчний үйлчлэлээр яс хугарч байгаа үед клиникт маш их өвдөлт зовиур, зөөлөн эдийн хаван няцралт, булчингийн чангарал, мөчдийн анатомийн бүтэц алдагдах шинж тэмдэг гарч ирдэг.

Ясны хугаралыг хэлбэрээр нь:

Ил болон далд гэж ангилдаг.

  • Ил хугарал гэдэг нь яс хугарч хугарлын үзүүрүүд нь арьсыг цоолон ил гарч харагдаж байгаа хугарал юм.

  • Далд хугарал гэдэг нь хүчтэй доргилт, битүү гэмтлийн улмаас арьсанд шарх үүсгэлгүй яс хугарахыг хэлнэ. Үүнийг танихад төвөгтэй байдаг. Учир нь хугарлын үзүүрүүд нүдэнд ил харагдахгүй, тэр орчмын зөөлөн эдүүд хавдаж, улайсан, өвдөлт ихтэй байдаг тул үзлэг хийхэд төвөгтэй байдаг.

Хугарал засах мэс засал image2

Илрэх шинж тэмдэг:

Ямар ч хэлбэрийн хугарлын үед дараах үндсэн шинж тэмдгүүд илэрнэ.

  • Өвдөлт ихтэй

  • Хугарсан ясны хэлбэр алдагдана.

  • Хугарсан хэсэгт хавдаж, улайж хөхөрнө.

  • Гэмтсэн хэсгийн арьс халуун болсон байна.

  • Мөчдийн хөдөлгөөн хязгаарлагдана.

  • Тэмтрэхэд ясны хавиралдах чимээ сонсогдоно.

  • Мөчдийн үйл ажиллагаа алдагдана.

Хугарал засах мэс засал image3

Оношлогоо:

Хугаралын үнэн зөв оношыг нарийн мэргэжлийн эмч тавина.

Оношыг гол төлөв рентген зургаар оношилдог.

Шаардлгатай тохиолдолд CT болон MRI шинжилгээ. /Ялангуяа эмгэг хугарлын үед/

Эмчилгээ:

Хугарлыг дараах зарчмаар эмчилнэ:

  • Хугаралыг засах мэс засал хийх (рентген хяналтан доор хугарлыг эвлүүлэн бэхлэх, ялтас, хиймэл үе )

  • Бэхлэх (Гипсэн боолтын тусламжтайгаар хугарлыг бороолтол нь үе мөчийг хөдөлгөөнгүй болгох)

  • Сэргээх эмчилгээ (Ясанд бороо үүссэний дараа үе мөчний хэвийн ажиллагааг хадгалах, сэргээхэд чиглэсэн эмчилгээний арга)

  • Бороололтыг эрчимжүүлэх.

Эмгэг хугаралд хамгийн ихээр нөлөөлдөг эмгэг болох ясны сийрэгжилтийн тухай

Ясны тодорхой эмгэгүүдийн үед /ясны сийрэгжил, ясны хавдар , ясны төрөлхийн эрдэсийн дутагдал мөн бамбай булчирай, элэг бөөрний архаг дутагдал ... / яс амархан хугарамтгай болдог энэ үед ямар нэг тодорхой шинж тэмдэг, өвдөлт зовиур өгөхгүй багахан хүчний үйлчлэлээр яс хугардаг учир ихэвчлэн яс хугарсаны дараа хүмүүс эмнэлэгт ханддаг. Эдгээрийн дотроос хамгийн ихээр тохиолддог эмгэг нь ясны сийрэгжилт юм.

Ясны сийрэгжилт /остеопороз/ тухай ойлголт

Эрүүл ясны нөхөн төлжилт, эргэн шимэгдэлт Остеокласт, остеобласт гэдэг хоёр өөр төрлийн үйл ажиллагаагтай эсийн нөлөөгөөр явагдаж байдаг. Хэрэв Остеокласт эсийн үйл ажиллагаа ихэсвэл ясны эдийн эргэн шимэгдэл нэмэгдэж хугарамтгай болно , харин остеобласт эсийн үйл ажиллагаа ихэсвэл яс бөх бат байх нөхцөл бүрэлддэг. Гэвч хөгширсөн, гэмтсэн ясны эд эргэн шимэгдэхгүй бол яс зэвтэй труба шиг болсон байдаг. Дээрхи хоёр эсийн үйл ажиллагаа тэнцүү явагдаж байж эрүүл яс оршин тогтоно.

Анхдагч Ясны сийрэгжилт

60 дэээш насны эрэгтэй эмэгтэйчүүдэд цусан дахь эстроген / тестостерон/ гормоны хэмжээ багассанаар остеокластийн идэвхижил , остеобластийн эсийн идэвхижилээс илүү болж ясны эргэн шимэгдэгт нэмэгдэж , шинээр яс үүсэх процесс , эргэн шимэгдэх үйл явцаа гүйцэхгүй болно. Энэ тохиолдолд яс ямар нэг гадны нөлөөгүйгээр сийрэг болдог . Өөрөөр хэлбэл наслалттай холбоотой яс сийрэгжиж эмгэг хугарал үүсэх нөхцөл бий болдог.

Хоёрдогч Ясны сийрэгжилт

Уналт таталтын эсрэг эм, гормон, гипертеройдизм, гипогонадизм, кальцих, вит/Д дутагдал, хавдар, эрхтэн солих хагалгааны дараа/ дархлал дарангуйлах эм удаан хугацаагаар хэрэглэх /архаг элэг, бөөрний дутагдал/ тамхи, архаг архидалт дангаар остеопорозд хүргэхгүй эр хүнд- гипогонадизм /... зэрэг эмгэгүүдийн үед яс сийрэг болж амархан хугарамтгай болдог.

УНТЭ-т ихэвчлэн өндөр настай болон хавсарсан суурь өвчтэй хүмүүст дунд чөмөгний эмгэг хугарал засах мэс засал хийгдэж байна.

Дунд чөмөгний эмгэг хугаралыг зассан мэс заслын аргууд:

  • Internal Fixation-хагалгаа , дотор бэхэлгээ /тусгай хадаас/ - 8%

  • Hemiarthroplasty – Түнхний үеийг хагас солих – 42%

  • Total Hip Arthroplasty – Түнхний үеийг бүтэн солих мэс засал – 50%

Насны хувьд:

  • 45-60 насны өвчтөн-15%

  • 60-75 насны өвчтөн - 40%

  • 75-90 насны өвчтөн - 45% ийг эзэлж байна.

Онцгой тохиолдолууд:

Эрхтэн шилжүүлэн суулгуулсан /Зүрх, Элэг, Бөөр/ 5-н өвчтөнд дунд чөмөгний хүзүүний эмгэг хугаралын үед хиймэл түнхний үе солих мэс засал хийгдсэн байна.

Дунд чөмөгний хүзүүний эмгэг хугарлын мэс заслын эмчилгээний сонголт:

Internal Fixation-хагалгаа, дотор бэхэлгээ / тусгай хадаас

Хугарал засах мэс засал image4

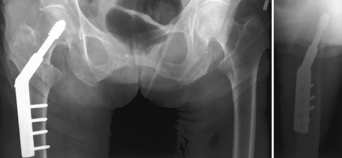
DHS - Дунд чөмөгний гадна бэхэлгээ

Хугарал засах мэс засал image5
УНТЭ-т хийгдсэн мэс заслын зураг

Hip screw-Түнхний шураг

Хугарал засах мэс засал image6
УНТЭ-т хийгдсэн мэс заслын зураг
Хугарал засах мэс засал image7
УНТЭ-т хийгдсэн мэс заслын зураг

Hemiarthroplasty –үеийг хагас солих

Хугарал засах мэс засал image8
УНТЭ-т хийгдсэн мэс заслын зураг

Total Hip Arthroplasty – үеийг бүтэн солих мэс засал

Хугарал засах мэс засал image9
УНТЭ-т хийгдсэн мэс заслын зураг

Periprosthetic fracture-Хиймэл үе суулгасны дараах хугарал

Хугарал засах мэс засал image10Хугарал засах мэс засал image11

Өвчтөн Б 52 настаЙ эмэгтэй 2020 оны 04 сард дунд чөмөгний хүзүүний эмгэг хугаралын улмаас түнхний үеийг бүтэн солих мэс засал хийлгэсэн. Мэс заслын дараах 25 дах хоног дээр явганаас халтирч унаж дахин хугаралыг зассан үеийн рентген зураг