Түнхний үе солих мэс засал гэж юу вэ?

Тодорхой шалтгааны улмаас ТҮНХНИЙ ҮЕ хэвийн бүтцээ эргэшгүйгээр алдаж, үений хөдөлгөөн хязгаарлагдан байнгын өвдөлт зовиуртай болсон тохиолдолд ТҮНХНИЙ ҮЕ-ийг ХИЙМЭЛ ҮЕ-ээр солих мэс заслын арга юм.

Түнхний үе дараах шалтгааны улмаас бүтцээ алддаг

  • Түнхний үений остеоартроз

  • Дунд чөмөгний толгойн үхжилт

  • Рематойд артрит

  • Дунд чөмөгний төрөлхийн дутуу хөгжил

  • Түнхний үений хуучин болон шинэ хугарал

  • Түнхний үе дунд чөмөгт яс хамарсан хавдар

  • Халдварын гаралтай үе ясны үрэвсэл

Өвчний аль үе шатанд мэс засал эмчилгээг санал болгох вэ

  • Эмийн эмчилгээ, хөдөлгөөн засалд өвчин намдахгүй байх үед

  • Түнхний өвдөлт өдөр тутмын амьдралын үйл ажиллагаанд нөлөөлж, хөдөлгөөн хязгаарлагдан, алхах, гишгэх, сууж босох, шатаар дээш, доош явах үед байнгын өвдөлттэй байх үед

  • Өдөр болон шөнийн цагаар хөдөлгөөнгүй тайван амарч байх үед өвдөлт хэвээр байх үед

Түнхний үе солих мэс засал гэж юу вэ image1Түнхний үе солих мэс засал гэж юу вэ image2

Остеоартрит

Остеоартрит нь ихэвчлэн 50 болон түүнээс дээш насныханд үений мөгөөрсөн эдийн тэжээл, уян чанар , алдагдсанаар үүсдэг өвчин юм. Мөгөөрсөн эдийн гөлгөр гулсамтгай шинж чанар алдагдаж, өвчин даамжирсаар үе хоорондын мөгөөрсөн эдийн бүтэц алдагдан үгүй болж , үе үүсгэж буй яснууд хоорондоо үрэлцэх энэ тохиолдолд хүчтэй өвдөлт үүсдэг. Зарим судлаачид энэхүү өвчнийг удамшилтай холбоотой ч гэж үздэг. Мөн биеийн жингийн илүүдэл, гэмтэл бэртэл, төрөлхийн үений эмгэг, тэнхлэгийн гажиг нь остеоартрит өвчин үүсэхэд нөлөөлдөг.

Ревматойд артрит

Хүний биеийн дархлалын систем өөрийн үений эд эсийн эсрэг хариу урвал үзүүлсэнээр,үений бүрхүүл үрэвсэж, зузаарч эхэлдэг.Хэд хэдэн үе зэрэг гэмтэж болно , ихэвчилэн үенүүд хоёр талд ижил төвшинд гэмтдэг.Удаан хугацааны турш үений бүрхүүл дээр явагдсан үрэвсэл үений мөгөөрсөн хэсгийг мөн гэмтээж өвдөлт зовиур үүсгэдэг. Үрэвслийн артрит-ийн хамгийн түгээмэл төлөөлөгч бол РЕВМАТОЙД АРТРИТ юм.

Дунд чөмөгний толгойн үхжил

Тодорхой шалтгааны улмаас дунд чөмөгний толгойд очих цусан хангамж алдагдаж, толгойн хэсэг тэжээлгүй болсноор дунд чөмөгний толгой нь үхжилт бүхий өөрчлөлтөнд ордог түгээмэл эмгэг юм.

Шалтгаан

  • Цусны эмгэг, цус бүлэгнэлтийн алдагдал

  • Гэмтэл

  • Архи

  • Тамхи

  • Дархлалын эмгэг

  • Удаан хугацаагаар дааврын бэлдмэл хэрэглэх

  • Чихрийн шижин

  • Аутоиммуны өвчин болон Дархлалын олдмол

  • Архаг бөөрний дутагдал

Түнхний үе солих мэс засал гэж юу вэ image3
Мэс заслын өмнөх болон дараах рентген зураг
Түнхний үе солих мэс засал гэж юу вэ image4Түнхний үе солих мэс засал гэж юу вэ image5
Түнхний үе солих мэс засал гэж юу вэ image6Түнхний үе солих мэс засал гэж юу вэ image7

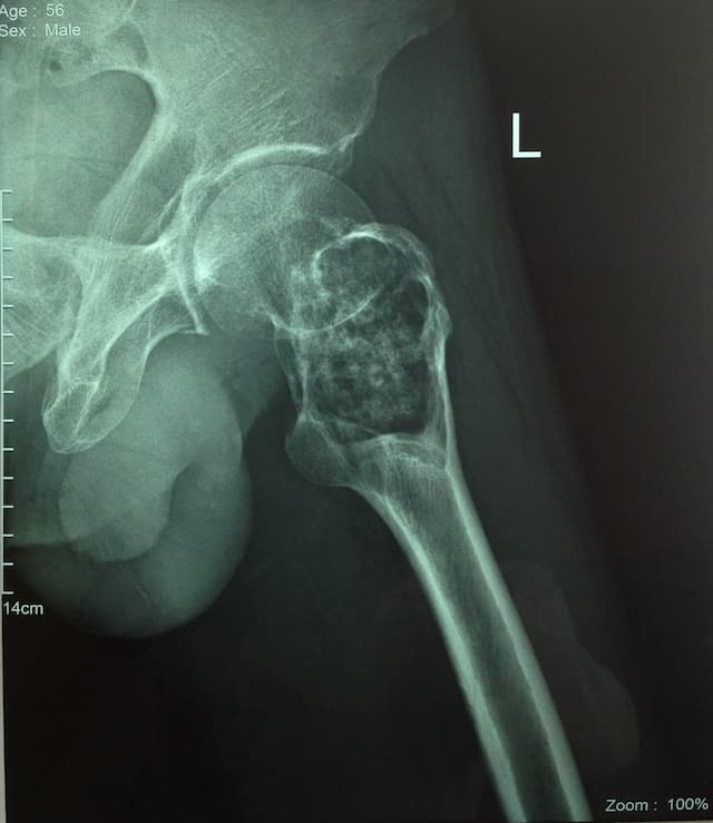
Дунд чөмөгний дээд хэсгийн /проксималь/ хавдар

Дунд чөмөгний проксималь буюу дээд хэсгийг хамарсан яс, зөөлөн эдийн гаралтай хавдрын улмаас түнхний үе, дунд чөмөгний дээд хэсгийг бүхлээр нь солих (мөч хадгалах мэс засал) мэс заслын эмчилгээг хийнэ.

Мэс заслын өмнөх болон дараах рентген зураг

Түнхний үе солих мэс засал гэж юу вэ image8Түнхний үе солих мэс засал гэж юу вэ image9Түнхний үе солих мэс засал гэж юу вэ image10

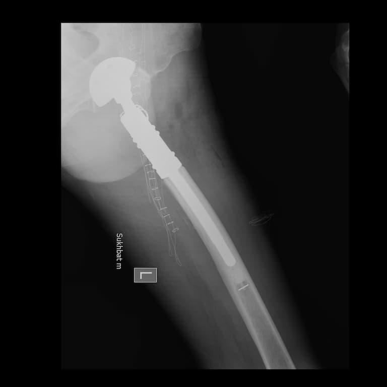
Дунд чөмөгний хүзүү болон их бага төвгөр хамарсан үений хугарал

Нас ахих тусам ясны чанар муудаж сийрэгжилт ихэсдэг мөн түнхний үений анатомийн бүтцээс /дунд чөмөгний хүзүүний хатуу яс нимгэн, ууттай шингэн дотор байрладаг, цусан хангамж муу/ зэргээс шалтгаалан жижиг гэмтлийн улмаас түнх хүзүү хэсгээр болон их бага төвгөрөөр хугарах нь маш элбэг. Дээрхи ясны сийрэгжил, анатомийн бүтцийн онцлогоос шалтгаалсан түнхний хүзүүний хугарал нь бороололт муу, бороолсон ч эргэн үхжих магадлал их тул 60 дээш насныханд ихэвчилэн түнхний үеийг хагас болон бүрэн солих мөн шургаар бэхлэх мэс заслыг хийнэ.

Түнхний үе солих мэс засал гэж юу вэ image11Түнхний үе солих мэс засал гэж юу вэ image12
Түнхний үе солих мэс засал гэж юу вэ image13Түнхний үе солих мэс засал гэж юу вэ image14

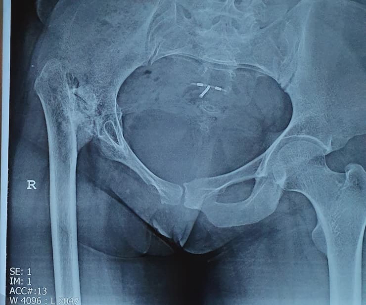
Түнхний үений төрөлхийн дутуу хөгжил

Нярай болон бага насны хүүхдийн хувьд түнхний үе төрөлхийн дутуу хөгжилтэй байх болон түнхний үений мултралттай тохиолдлууд байдаг. Нас биенд хүрсний дараа түнхний үений төрөлхийн өөрчлөлт нь артрит үүсгэх гол шалтгаан болдог бөгөөд хоёр хөл урт богино болж, аарцаг ясны тэгш хэм алдагдах болон түнхний үе мөн зэргэлдээх булчингын өвдөлт зовиур ихтэй болсноор хөдөлмөрийн чадвар муудаж, түүнчлэн тухайн хүний гоо зүй алдагдна. Иймээс түнхний үе солих мэс заслыг амьдралын чанарыг дээшлүүлэх, өвдөлт зовиур багасгах, хөлийн урт богиныг тэнцүүлж улмаар аарцаг ясны тэгш хэмийг хадгалах гоо сайхны зорилгоор хийж байна.

Түнхний үе солих мэс засал гэж юу вэ image15

Мэс заслын өмнөх болон дараах рентген зураг

Түнхний үе солих мэс засал гэж юу вэ image16Түнхний үе солих мэс засал гэж юу вэ image17

Түнхний үенд суулгасан хиймэл үений эрт болон хожуу үеийн ховхрол

Хиймэл түнхний үе нь 10-20 жилийн турш хүний биеийн үйл ажиллагааг дэмжин ашиглагдах бүрэн боломжтой боловч тухайн хүний биеийн жин болон ясны сийрэгжилт зэргээс хамааран дээрх хугацаа багасах магадлалтай байдаг. Мөн элэгний хатуурал, чихрийн шижин, амны хөндийн халдвар болон бусад халдвар үүсгэгч нян бактерийн улмаас болж түнхний үенд суулгасан хиймэл үенд халдвар дамжин цаашлаад хиймэл үе ховхрох, хөдөлгөөнтэй болох зэрэг хүндрэлүүд үүснэ.

Энэ тохиолодолд хиймэл үеийг дахин солих болон суулгацыг авах мэс заслын ажилбарыг хийх шаардлагатай болно.

Мэс засал

Мэс засал нь ихэвчлэн нугасны хөндийн мэдээгүйжүүлэлт дор явагддаг ба мэс заслын цар хүрээнээс шалтгаалан дунджаар 2-4 цаг үргэлжилнэ. Мэс заслын эмч нь эмгэгшсэн хэсгийг аван түнхний хиймэл үений суулгацыг суулгаснаар мэс заслын үйл явц дуусна.

Видео

Мэс заслын дараа өвчтөн нь сэрээх өрөөнд 1-2 цагын турш мэдээгүйжүүлгийн эмчийн хяналтанд байх ба биеийн байдал тогтворжсоны дараа тасагт шилжин ирнэ.

Өвчтөн нь мэс заслын дараа доорх шинж тэмдэг илэрвэл яаралтай эмчид хандах шаардлагатай

  • Биеийн халуун 38-с дээш байх

  • Бие зарайх

  • Түнхний үе орчим хавдах, халуу оргих, зовиур нэмэгдэх

  • Мэс заслын шархнаас бохир шүүс гарах

  • Тайван болон хөдөлгөөнтэй байх үед түнхний үений өвдөлт их байх

  • Унаж гэмтсэн тохиолдолд түнхний үений хөдөлгөөнийг хязгаарлан эмчид хандна уу

Бусад анхаарах зүйлс

Мэс заслын дараа эхний 6-н долоо хоногын турш түнхний үеэр суух, нугалах болон унтах үедээ анхааралтай байх хэрэгтэй. Эдгээр тохиолдолд болгоомжгүй хөдөлгөөн хийвэл түнхний үе мултрах аюултай гэдгийг анхаарна уу. Иймээс эмнэлгээс гарах үедээ хориглох хөдөлгөөний талаар эмчээс асууж, хангалттай мэдээлэл авах шаардлагатай юм.

Түнхний үе солих мэс засал гэж юу вэ image18Түнхний үе солих мэс засал гэж юу вэ image19

Унахаас сэргийлэх

Мэс заслын дараа эхний 7-с 10-н долоо хоногийн хооронд унаж бэртэх нь давтан мэс засалд орох эрсдэлийг нэмэгдүүлдэг. Түнхний үений хөдөлгөөн болон булчингийн үйл ажиллагаа бүрэн сэргээгүй үед шатаар явах нь эрсдэлтэй. Суга таяг болон гар таяг мөн тусгай вокерийн тусалцаатайгаар явах шаардлагатай. Эмчээс мэс заслын дараа ямар төрлийн туслах хэрэгслийг сонгон хэрэглэх талаар зөвлөгөөг авна уу.