Үе дайрсан ясны анхдагч хавдар, ясны дутмагшлын үед хийгдэх мэс засал

Үе дайрсан, ясны анхдагч хавдар цөөнгүй тохиолддог. Эмчилгээний гол зарчим нь хавдар дахих, үсэрхийлэхээс сэргийлж ясны хавдрыг бүтнээр нь эрүүл эдээр тайрч авах явдал юм. Ингэж хавдрыг авахад ясны том хэмжээний дутмагшил (дефект) үүсч хөл тулгуурын үүргээ гүйцэтгэх боломжгүй, үеэр нугалах боломжгүй болох зэрэг хүндрэлүүд гарч ирдэг. Мөч, үе дайрсан хавдар, ясны том хэмжээтэй дутмагшлын үед эрхтэн хадгалах мэс засал нь орчин үеийн ортопеди мэс заслын нэг гол зорилго болоод байна.

Эрхтэн хадгалах мэс засал хийхгүй бол ихэнхдээ мөч тайрах мэс засал хийхээс өөр сонголтгүй болдог. Энэ нь хөдөлмөрийн чадварыг алдагдуулах, гоо сайхны талаас эрхтэн дутуу болох, сэтгэл гутрал үүсгэх зэрэг нийгэм – эдийн засгийн олон сөрөг нөлөөнүүдийг дагуулдаг.

Яс, үений идээт үрэвсэл, хиймэл үе суулгах мэс заслын дараах хүндрэлийн улмаас ясны том хэмжээний дутмагшил үүсдэг. Үе дайрсан ясны том хэмжээний дутмагшилтай тохиолдолд хавдрын протез эсвэл үе сэргээх тусгай протез суулгах мэс засал хийдэг.

Манай орны хувьд

Улсын нэгдүгээр төв эмнэлгийн хэрх үе , судлал , үе сэргээх төвд 2012 онд дунд чөмөг ясны доод хэсгийн аварга эст хавдрын үед хавдрын протез ашиглан мөч хадгалах хагалгааг М.Отгонбаяр ахлагчтай баг анх удаа Монголд амжилттай хийж эхэлсэн. Үүнээс өмнө мөч, үе дайрсан хавдар, ясны том хэмжээтэй дутмагшилтай тохиолдолд мөч тайрах мэс засал л хийгддэг байлаа.

Манай төвд хийгдсэн:

  • хавдрын протез (tumor prosthesis) суулгах мэс засал хийлгэсэн 20 тохиолдол

  • гадаад улсад хавдрын протез (tumor prosthesis) суулгах мэс засал хийлгэсэн 1 тохиолдол

  • Яс, үений идээт үрэвсэл, хиймэл үе суулгах мэс заслын дараах хүндрэлийн улмаас ясны том хэмжээний дутмагшлын улмаас мэс засал хийлгэсэн 43 тохиолдол байна.

Мэс засал хийлгэснээс хойшхи хамгийн удаан хугацаанд хяналтанд байгаа өвчтөн 11 жилийн хугацаатай байна.

Үе дайрсан ясны анхдагч хавдар, ясны дутмагшлын үед хийгдэх мэс засал image1

Бид мэс засал хийсэн бүх тохиолдлууддаа клиник судалгаа хийх, туршлагаа бусдад хуваалцах, өөрийн орны онцлог тал, бэрхшээл зэргийг судлах зорилгоор өвчтөн болгонд файл нээн, мэс заслын өмнөх дараах гистологи шинжилгээ, ясны тайралтын хэмжээ, протезийн загвар, мэс заслын өмнөх болон дараах үечилсэн рентген зургууд гэх мэт баримтуудыг архивлан хадгалж, судалгаа хийж байна.

Дээрх 20 хавдрын протез суулгах мэс засал хийлгэсэн тохиолдлуудын шалтгаан нь:

  • Үе дайрсан, ясны анхдагч хавдрын шалтгаантай 8 тохиолдол

  • Хиймэл өвдөгний үе суулгах мэс заслын дараах идээт хүндрэлийн улмаас дунд чөмөг ясны булуу хэсгийн ясны дутагдал үүсч сэргээн засах мэс засал хийхдээ хавдрын протез ашигласан 12 тохиолдол

  • Солонгос улсад өвдөгний үе дайрсан хавдрын улмаас хавдрын протез (tumor prosthesis) суулгах мэс засал хийлгэсэн 1 тохиолдолд хиймэл үений дунд чөмөг хэсгийн ховхрол үүсч хүндэрсэн байсныг сэргээн засах мэс засал хийв

Бид Герман улсын “Implant Cast” үйлдвэрийн “Mutars” загварын хавдрын протез, Герман улсын “K implant” үйлдвэрийн хавдрын протезуудыг тус тус ашигласан.

Үе дайрсан ясны анхдагч хавдар, ясны дутмагшлын үед хийгдэх мэс засал image2
Зураг. №2 Герман улсын “Implant Cast” үйлдвэрийн “Mutars” загварын Хавдрын протез (tumor prosthesis)

Хавдрын байршил, ясны дутмагшлын хэлбэрээс хамаарч дээрх протезуудын аль тохирохыг хэрэглэдэг.

Тохиолдол танилцуулга 1.

Өвчтөн: С. 57 настай, эрэгтэй

Мэс заслын өмнөх онош: Зүүн дунд чөмөгний түнхний үе орчмын ясны хавдар

Эсийн шинжилгээний хариу: Chondromyxoid fibroma

Шинж тэмдэг: Зүүн түнх, гуя орчим өвддөг, өвдөлт аажим ихсэж байсан, явах зогсох үед өвдөлт нэмэгддэг.

Хөдөлгөөний идэвх: Түнхний үеэр алцайх болон нугалах хөдөлгөөн бага зэрэг хязгаарлагдсан.

Хийгдсэн мэс заслын нэр: Дунд чөмөг-түнхний хавдрын хиймэл үе суулгах мэс засал. Эмнэлэгт хэвтсэн ор хоног 10.

Үе дайрсан ясны анхдагч хавдар, ясны дутмагшлын үед хийгдэх мэс засал image3
Зураг1. Зүүн дунд чөмөгний түнхний үе орчмын ясны хавдар
Үе дайрсан ясны анхдагч хавдар, ясны дутмагшлын үед хийгдэх мэс засалimage4
А. тайрч авсан хавдар
Үе дайрсан ясны анхдагч хавдар, ясны дутмагшлын үед хийгдэх мэс засалimage5
Б. хавдрыг дундуур нь хагас хуваасан

Зураг2. Гадна харагдах байдал: Зүүн дунд чөмөгний түнхний үе орчмын ясны хавдар.

Үе дайрсан ясны анхдагч хавдар, ясны дутмагшлын үед хийгдэх мэс засалimage6
Зураг3. Мэс заслын үеийн фотозураг. Дунд чөмөг-түнхний хавдрын протез
Үе дайрсан ясны анхдагч хавдар, ясны дутмагшлын үед хийгдэх мэс засалimage7
Зураг 4. Мэс заслын дараах рентген зураг

Өвчтөний ерөнхий биеийн байдал хурдан сайжирч, шарх эдгэрсэн, хүндрэл тохиолдоогүй.

Тохиолдол танилцуулга 2.

Өвчтөн: C. 30 настай, эмэгтэй

Мэс заслын өмнөх онош: Дунд чөмөгний доод хэсгийн аварга эст хавдар.

Эсийн шинжилгээний хариу: Аварга эст хавдар.

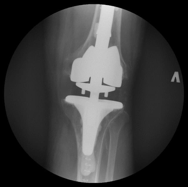
Хийгдсэн мэс заслын нэр: Дунд чөмөг-өвдөгний хавдрын протез суулгах мэс засал.

Эмнэлэгт хэвтсэн ор хоног: 7

Үе дайрсан ясны анхдагч хавдар, ясны дутмагшлын үед хийгдэх мэс засалimage8Үе дайрсан ясны анхдагч хавдар, ясны дутмагшлын үед хийгдэх мэс засалimage9

Зураг 1. Гадна харагдах байдал: Зүүн дунд чөмөгний өвдөгний үе орчмын ясны хавдар, хавдар задар үхэжсэн байна.

Үе дайрсан ясны анхдагч хавдар, ясны дутмагшлын үед хийгдэх мэс засалimage10
А. Мэс засал хийсэн өвдөгний үе
Үе дайрсан ясны анхдагч хавдар, ясны дутмагшлын үед хийгдэх мэс засалimage11
Б. Бүтэн биеийн рентген зураг

Зураг 2. Мэс заслын дараах рентген зураг

Хавдрын улмаасмэс хийлгэсэнөвчтөнгүүд мэс заслын дараа 2-3 хоногийн дотор шууд гишгэж явж, мөчдийн үйл ажиллагаа хурдан сэргэж эхний 1 сард үений хөдөлгөөний далайц хэвийн болсон .

Хиймэл өвдөгний үе суулгах мэс заслын дараах хоёрдогчоор хийж байгаа мэс заслын үеийн мөчдийн үйл ажиллагааны нөхөн сэргэлт харьцангуй удаан сэргэх хандлагатай байсан.

Ясыг тайрахдаа хавдрын ирмэгээс 2 см зайд тайралт хийсэн, нийт 6 хавдартай тохиолдолд хавдар дахисан хүндрэл гараагүй. Хоёрдогч мэс заслын үед шилбэ ясны дутмагшлыг Anderson Orthopaedic Research Institute (AORI) (Engh & Ammeen, 1999) ангиллаар ихэвчлэн ангилдаг.

Үе дайрсан ясны анхдагч хавдар, ясны дутмагшлын үед хийгдэх мэс засалimage12
Зураг 1. Дунд чөмөг ба шилбэ ясны I зэргийн дутмагшил

Тохиолдол танилцуулга 3.

Өвчтөн: M, 73 настай, эмэгтэй

Урьд нь хийгдсэн мэс заслын түүх: 2013 онд өвдөгний хиймэл үе суулгах мэс засал хийлгэсэн. Мэс заслын дараа халдварын хүндрэл гарсан.

Хоёрдахь мэс засал: Хиймэл үеийг авч, оронд нь антибиотиктэй цемент, төмөр бэхэлгээ хийсэн. Мэс заслын дараа үрэвсэл намдсан. Үрэвслийн улмаас ясны том хэмжээний дутмагшил үүссэн.

Сэргээн засах мэс засал: Зүүн дунд чөмөг-өвдөгний хавдрын протез суулгах мэс засал

Эмнэлэгт хэвтсэн ор хоног: 10

Үе дайрсан ясны анхдагч хавдар, ясны дутмагшлын үед хийгдэх мэс засалimage13
Зураг 1. Мэс заслын дараах рентген зураг: артродез буюу “үегүйжүүлэх” мэс засал.
Үе дайрсан ясны анхдагч хавдар, ясны дутмагшлын үед хийгдэх мэс засалimage14
Зураг 2. Мэс заслын үеийн фотозураг. Дунд чөмөг-өвдөгний хавдрын протез

Өвдөгний үений шөрмөсөн холбоосууд үрэвслийн улмаас бүрэн гэмтсэн Дунд чөмөг - шилбэ ясны 3 зэргийн дутмагшилтай учир дунд чөмөг-өвдөгний хавдрын протез сонгон суулгасан. Энэ дунд чөмөг-өвдөгний хавдрын протезын онцлог нь шилбэ болон дунд чөмөгний хэсэг нь хоорондоо давхар холбогдох нугас буюу hinge system-тэй юм. Hinge system нь үений холбоосын үүргийг гүйцэтгэн – үе хоорондын зайг барих, үений тогтвортой байдлыг хангах зорилготой.

Үе дайрсан ясны анхдагч хавдар, ясны дутмагшлын үед хийгдэх мэс засалimg15Үе дайрсан ясны анхдагч хавдар, ясны дутмагшлын үед хийгдэх мэс засалimg16

Зураг 3. Мэс заслын дараах рентген зураг. Эгц урд, хажуугаас авсан байдал

Тохиолдол танилцуулга 4.

Өвчтөн: Б, 73 настай, эмэгтэй

Урьд нь хийгдсэн мэс заслын түүх: 2016 онд өвдөгний хиймэл үе суулгах мэс засал хийлгэсэн. Мэс заслын дараа халдварын хүндрэл гарсан

Хоёрдахь мэс засал: Хиймэл үеийг авч, оронд нь антибиотиктэй цемент хийсэн. Халдварын хүндрэлийн улмаас ясны том хэмжээний дутмагшил үүссэн.

Сэргээн засах мэс засал: Зүүн дунд чөмөг-өвдөгний үе сэргээх тусгай протез суулгах мэс засал.

Үе дайрсан ясны анхдагч хавдар, ясны дутмагшлын үед хийгдэх мэс засалimg17Үе дайрсан ясны анхдагч хавдар, ясны дутмагшлын үед хийгдэх мэс засалimg18

Зураг 1. Сэргээн засах мэс заслын өмнөх рентген зураг. Эгц урд, хажуугаас авсан байдал.

Үе дайрсан ясны анхдагч хавдар, ясны дутмагшлын үед хийгдэх мэс засалimage19
Зураг 2. Мэс заслын үеийн фотозураг. Өвдөгний хиймэл үе – сэргээн засах протез
Үе дайрсан ясны анхдагч хавдар, ясны дутмагшлын үед хийгдэх мэс засалimg20Үе дайрсан ясны анхдагч хавдар, ясны дутмагшлын үед хийгдэх мэс засалimg21

Зураг 3. Мэс заслын дараах рентген зураг. Эгц урд, хажуугаас авсан байдал

Энэ тохиолдолд үений шөрмөсөн холбоос хэвийн хадгалагдаж үлдсэн байсан. Хиймэл үе - ястай тогтвортой сайн бэхлэгдэх нөхцлийг хангах чөмөгт гол руу орсон уртасгагч – extension stem-тэй хиймэл үе.

Тохиолдол танилцуулга 5.

Өвчтөн: Д.Г 65 настай, 2019.1.4 эрэгтэй

Сэргээн засах мэс засал: Өвдөгний үе сэргээх тусгай протез суулгах мэс засал.

Үе дайрсан ясны анхдагч хавдар, ясны дутмагшлын үед хийгдэх мэс засалimg22Үе дайрсан ясны анхдагч хавдар, ясны дутмагшлын үед хийгдэх мэс засалimg23

Зураг 1. Сэргээн засах мэс заслын өмнөх рентген зураг. Эгц урд, хажуугаас авсан байдал.

Үе дайрсан ясны анхдагч хавдар, ясны дутмагшлын үед хийгдэх мэс засалimg24Үе дайрсан ясны анхдагч хавдар, ясны дутмагшлын үед хийгдэх мэс засалimg25

Зураг 2. Мэс заслын дараах рентген зураг. Эгц урд, хажуугаас авсан байдал

Өвдөгний үений шөрмөсөн холбоосууд үрэвслийн улмаас бүрэн гэмтсэн Дунд чөмөг - шилбэ ясны дутмагшилтай учир дунд чөмөг-өвдөгний хавдрын протез сонгон суулгасан. Энэ дунд чөмөг-өвдөгний хавдрын протез нь мөн hinge system- тэй.

Үе дайрсан ясны анхдагч хавдар, ясны дутмагшлын үед хийгдэх мэс засалimage26
Зураг 1. Дунд чөмөг ба шилбэ ясны 2А зэргийн дутмагшил

Тохиолдол танилцуулга 6.

Өвчтөн: Н.Х 74 настай, эмэгтэй 2018.9.14

Сэргээн засах мэс засал: Шилбэний хиймэл үений ховхролыг сэргээх тусгай протез суулгах мэс засал.

Үе дайрсан ясны анхдагч хавдар, ясны дутмагшлын үед хийгдэх мэс засалimg27Үе дайрсан ясны анхдагч хавдар, ясны дутмагшлын үед хийгдэх мэс засалimg28

Зураг 1. Сэргээн засах мэс заслын өмнөх рентген зураг. Эгц урд, хажуугаас авсан байдал. Халдварын бус шалтгаант хиймэл үений ховхрол.

Үе дайрсан ясны анхдагч хавдар, ясны дутмагшлын үед хийгдэх мэс засалimg29Үе дайрсан ясны анхдагч хавдар, ясны дутмагшлын үед хийгдэх мэс засалimg30

Зураг 2. Мэс заслын дараах рентген зураг. Эгц урд, хажуугаас авсан байдал.

Энэ тохиолдолд зөвхөн шилбэ хэсгийн хиймэл үений ховхрол үүсч, ясны дутмагшилд орсон байв. Шилбэ хэсгийн хиймэл үеийг шинээр солихдоо ясны дутмагшлыг метал блокоор нөхөж, чөмөгт хөндий рүү илүү гүн суулгах extension stem ашигласан.

Үе дайрсан ясны анхдагч хавдар, ясны дутмагшлын үед хийгдэх мэс засалimage31
Зураг 1. Дунд чөмөг ба шилбэ ясны 2В зэргийн дутмагшил

Тохиолдол танилцуулга 7.

Өвчтөн: П.Ц 60 настай, эмэгтэй 2019.1.4

Үе дайрсан ясны анхдагч хавдар, ясны дутмагшлын үед хийгдэх мэс засалimg31Үе дайрсан ясны анхдагч хавдар, ясны дутмагшлын үед хийгдэх мэс засалimg32

Зураг 1. Сэргээн засах мэс заслын өмнөх рентген зураг. Эгц урд, хажуугаас авсан байдал.

Үе дайрсан ясны анхдагч хавдар, ясны дутмагшлын үед хийгдэх мэс засалimage33
Зураг 2. Мэс заслын үеийн фотозураг. Өвдөгний хиймэл үе – сэргээн засах протез

Энэ хиймэл үений онцлог нь дунд чөмөгний гандан хэсгийн доод 1/3 хэсэг, үений булуу хэсгийг бүрэн орлох хавдрын тусгай хиймэл үе юм. Мөн hinge system-тэй.

Үе дайрсан ясны анхдагч хавдар, ясны дутмагшлын үед хийгдэх мэс засалimg34Үе дайрсан ясны анхдагч хавдар, ясны дутмагшлын үед хийгдэх мэс засалimg35

Зураг 3. Мэс заслын дараах рентген зураг. Эгц урд, хажуугаас авсан байдал.

Үе дайрсан ясны анхдагч хавдар, ясны дутмагшлын үед хийгдэх мэс засалimage36
Зураг 1. Дунд чөмөг ба шилбэ ясны 3 зэргийн дутмагшил

Тохиолдол танилцуулга 8.

Өвчтөн: П.Ц 60 настай, эмэгтэй 2012.10.23

Үе дайрсан ясны анхдагч хавдар, ясны дутмагшлын үед хийгдэх мэс засалimg37Үе дайрсан ясны анхдагч хавдар, ясны дутмагшлын үед хийгдэх мэс засалimg38

Зураг 1. Сэргээн засах мэс заслын өмнөх рентген зураг. Эгц урд, хажуугаас авсан байдал.

Үе дайрсан ясны анхдагч хавдар, ясны дутмагшлын үед хийгдэх мэс засалimage39
Зураг 2. Мэс заслын үеийн фотозураг. Өвдөгний хиймэл үе – сэргээн засах протез
Үе дайрсан ясны анхдагч хавдар, ясны дутмагшлын үед хийгдэх мэс засалimage40
Зураг 3. Мэс заслын дараах рентген зураг. Эгц урд, хажуугаас авсан байдал.

Дунд чөмөг-өвдөгний хавдрын протез, нугас буюу hinge system-тэй. Хиймэл үе - ястай тогтвортой сайн бэхлэгдэх нөхцлийг хангах чөмөгт гол руу орсон уртасгагч – extension stem-тэй хиймэл үе.

Ном зүй

  • Gebhardt MC, Flugstad DI, Springfield DS, Mankin HJ. The use of bone allografts for limb salvage in high-grade extremity osteosarcoma. Clin Orthop Relat Res. 1991;270:181–196. [PubMed]

  • Asada N, Tsuchiya H, Kitaoka K, Mori Y, Tomita K. Massive autoclaved allografts and autografts for limb salvage surgery A 1–8 year follow–up of 23 Өвчтөнs. Acta Orthop Scand. 1997;68:392–395. doi: 10.3109/17453679708996184. [PubMed] [Cross Ref]

  • Manabe J, Kawaguchi N, Matsumoto S. Pasteurized autogenous bone graft for reconstruction after resection of malignant bone and soft tissue tumors: imaging features. Semin Musculoskeletal Radiol. 2001;5:195–200. doi: 10.1055/s-2001-15680. [PubMed] [Cross Ref]

  • Tsuchiya H, Abdel-Wanis ME, Tomita K. Biological reconstruction after excision of juxta-articular osteosarcoma around the knee: a new classification system. Anticancer Res. 2006;26(1):44–53. [PubMed]

  • Yukihiro Yoshida, 1 Shunzo Osaka,2 Toshio Kojima,1 Masafumi Taniguchi,1 Eiji Osaka,2and Yasuaki Tokuhashi1. Revision of tumor prosthesis of the knee joint. Eur J Orthop Surg Traumatol. 2012 Jul; 22(5): 387–394.Published online 2011 Aug 19. doi: 10.1007/s00590-011-0848-0

  • 6. Mittermayer F, Krepler P, Dominkus M, Schwameis E, Sluga M, Heinzl H, Kotz R. Long-term followup of uncemented tumor endoprostheses for the lower extremity. Clin Orthop Relat Res. 2007;388:167–177. doi: 10.1097/00003086-200107000-00024. [PubMed] [Cross Ref]