Өвдөгний үе бүтэн солих мэс засал (TKA)

Хүний биед байдаг 360 орчим үеийг бүтцээр , үйл ажиллагаагаар олон ангилдаг. Өвдөгний үе нь ууттай үеийн хамгийн том төлөөлөл , биеийн жингийн ихэнхийг үүрч явдаг, хөдөлгөөнт үе юм /diarthrosis/.

Дотроо тойг-булууны /patella – femoral/ шилбэ-булууны /tibia-femoral/ гэсэн хоёр хэсэг 3 том ясаас /булуу, шилбэ, тойг/ бүрдэнэ.

Тодорхой шалтгаануудын улмаас дээрхи бүтэц бүхэлдээ эргэшгүй өөрчлөлтөнд орж , үйл ажиллагаа алдагдаж , байнгын өвдөлт зовиуртай болоход өвдөгний үеийг бүтэн солих мэс заслыг хийнэ. Өөрөөр хэлбэл дээрхи 3 том / тойг , булуу , шилбэ ясны дээд хэсэг/ ясны үе үүсгэж буй гадаргуу бүхэлдээ хиймэл эдээр солигдоно.

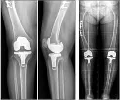
Өвдөгний үе бүтэн солих мэс засал (TKA) image1
Хагалгааны өмнө
Хагалгааны дараах
Өвдөгний үе бүтэн солих мэс засал (TKA) image2
Эгц урдаас
Хажуугаас

Мэс заслын заалт

  • Остеоартритын III , IV үе шат

  • Ревматойд артрит

  • Халдварын шалтгаант артрит

  • Гэмтлийн шалтгаант артрит

  • Гемофилийн артрит

Дээрхи шалгаануудын улмаас үений бүтэц бүхэлдээ гэмтсэн үед өвдөгний үеийг бүтэн солих мэс заслыг хийнэ.

Өвдөгний үений бүтэц эвдрэлд нөлөөлөх хүчин зүйлс

  • Насжилт /65 аас дээш насны хүмүүс 85% /

  • Жингийн илүүдэл

  • Гэмтлийн шалтгаан

  • Гормоны гаж нөлөө

  • Дархлалын эмгэгүүд

Хиймэл үений бүтэц, онцлог

Мэс заслын өмнө эмч хагалгаа хийлгэх өвчтөн болон рентген шаардлагатай бол MRI зургуудыг үнэлж ямар загварын хиймэл үе суулгахыг шийддэг.

Өвдөгний үеийг бүхэлд нь солих хиймэл үений 4 төрлийн загвар байдаг.

Бэхэлгээт загвар

Бэхэлгээт загварын хиймэл үе жингийн илүүдэлгүй, амьдралын идэвхи багатай хүмүүст илүү тохиромжтой ихэвчлэн настай хүмүүст хийгддэг. Булуу болон шилбэ ясны хоорондох полиэтилен жийргэвч шилбэний импланттай хөдөлгөөнгүй бэхэлгээтэй байдаг.

Өвдөгний үе бүтэн солих мэс засал (TKA) image3

Хөдөлгөөнт загвар

Хөдөлгөөнт загварын хиймэл үе нь дунд чөмөгний болон шаант ясны имплантын дундах полиэтилин жийргэвч нь эргэх хөдөлгөөн хийгддэг учир залуу болон хөдөлгөөний идэвхитэй хүмүүст илүү тохиромжтой байдаг.

Өвдөгний үе бүтэн солих мэс засал (TKA) image4

PS загвар /ард чагтан холбоосыг тасалдаг/

Энэ төрлийн загвар нь өвөдгний бүтэц ихээр алдагдсан холбоосууд суларсан, мөн сэргээн засах давтан мэс засалд ашигладаг загвар юм.

Өвдөгний үе бүтэн солих мэс засал (TKA) image5
Ард чагтан хобоог тасалдаг загвар
Өвдөгний үе бүтэн солих мэс засал (TKA) image6
Ард чагтан холбоосыг үлдээдэг загвар

Стандарт загвар /ард чагтан холбоосыг үлдээдэг/

Арын чагтан холбоос сулраагүй бүтэц үйл ажиллагаа нь хэвийн байвал холбоосыг таслахгүйгээр үлдээдэг загвар юм.

Давуу тал

  • Архаг өвдөлт зовиур арилна

  • Үений хөдөлгөөн чөлөөтэй болно

  • Хөлний тэнхлэг тэгширнэ / хөл эгц болно/

  • Мэс заслын дараах хоногоос хөл дээр бүрэн ачаалал авч болно.

  • Амьдралын идэвхи сайжирч , дасгал хөдөлгөөн чөлөөтэй хийх болсоноор АД ихсэх, таргалалт, чихрийн шижин гэх зэрэг олон өвчнөөс урьдчилан сэргийлнэ.

Сул тал

  • Тодорхой хугацааны дараа / 10-15 жил / яс , хиймэл үе хоёрын хооронд зай үүсч сулрах / loosening / тохиолдол гардаг тул давтан мэс засал хийгдэж болно.

  • Бэртэж гэмтэх, биед үүссэн идээт голомтын улмаас олон жилийн дараа ч хиймэл үе рүү халдвар орох эрсдэл их байдаг.

Зөвлөмж

Өвдөгний хиймэл үе солиулах мэс засалд орохоор төлөвлөж буй бол таньд дараах зөвлөмжийг хүргэж байна.

  • Сэргээн засах дасгал хөдөлгөөн /өвдөгний үеийг нугалах, тэнийлгэх/

  • Илүүдэл жинг хасах

  • Ясны сийрэгжилтийн эсрэг эм бэлдмэл уух

  • Бэртэж гэмтэхээс сэргийлэх

Өвдөгний үе бүтэн солих мэс засал (TKA) image7
Булуу, тойг, шилбэ яс бүхэлдээ бүтцийн өөрчлөлтөд орсон байдал /хагалгааны үед/
Өвдөгний үе бүтэн солих мэс засал (TKA) image8
Хиймэл үе суулгасаны дараах байдал
Өвдөгний үе бүтэн солих мэс засал (TKA) image9
Рентген, эгц урдаас харуулсан байдал
Өвдөгний үе бүтэн солих мэс засал (TKA) image10
Рентген, хажуугаас харуулсан байдал